{{ 'fb_in_app_browser_popup.desc' | translate }} {{ 'fb_in_app_browser_popup.copy_link' | translate }}

{{ 'in_app_browser_popup.desc' | translate }}

Welcome to URBAN NEST

倒數!滿千現折百
9 8 7 6 5 4 3 2 1 0
9 8 7 6 5 4 3 2 1 0
9 8 7 6 5 4 3 2 1 0
:
9 8 7 6 5 4 3 2 1 0
9 8 7 6 5 4 3 2 1 0
:
9 8 7 6 5 4 3 2 1 0
9 8 7 6 5 4 3 2 1 0
:
9 8 7 6 5 4 3 2 1 0
9 8 7 6 5 4 3 2 1 0

🔥 成為新會員,即享首次購物金 🔥

Welcome to URBAN NEST

倒數!滿千現折百
9 8 7 6 5 4 3 2 1 0
9 8 7 6 5 4 3 2 1 0
9 8 7 6 5 4 3 2 1 0
:
9 8 7 6 5 4 3 2 1 0
9 8 7 6 5 4 3 2 1 0
:
9 8 7 6 5 4 3 2 1 0
9 8 7 6 5 4 3 2 1 0
:
9 8 7 6 5 4 3 2 1 0
9 8 7 6 5 4 3 2 1 0

🔥 成為新會員,即享首次購物金 🔥

Welcome to URBAN NEST

你的購物車是空的
{{ (item.variation.media ? item.variation.media.alt_translations : item.product.cover_media.alt_translations) | translateModel }} {{ (item.variation.media
                    ? item.variation.media.alt_translations
                    : item.product.cover_media.alt_translations) | translateModel
                }}
{{ 'product.bundled_products.label' | translate }}
{{ 'product.bundle_group_products.label' | translate }}
{{ 'product.buyandget.label' | translate }}
{{ 'product.gift.label' | translate }}
{{ 'product.addon_products.label' | translate }}
{{item.product.title_translations|translateModel}}
{{ field.name_translations | translateModel }}
  • {{ childProduct.title_translations | translateModel }}

    {{ getChildVariationShorthand(childProduct.child_variation) }}

{{ 'product.set.open_variation' | translate }}
  • {{ getSelectedItemDetail(selectedChildProduct, item).childProductName }} x {{ selectedChildProduct.quantity || 1 }}

    {{ getSelectedItemDetail(selectedChildProduct, item).childVariationName }}

{{item.variation.name}}
{{item.quantity}}x NT$0 {{ item.unit_point }} 點
{{addonItem.product.cover_media.alt_translations | translateModel}}
{{ 'product.addon_products.label' | translate }}
{{addonItem.product.title_translations|translateModel}}
{{addonItem.quantity}}x {{ mainConfig.merchantData.base_currency.alternate_symbol + "0" }}

 

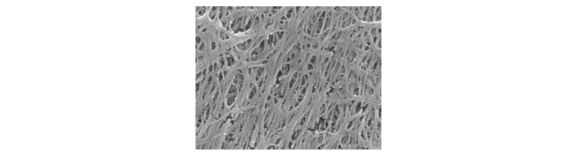
|AirySektor—BenQ微多孔薄膜技術|

環保無毒最新科技

 

 

|超越頂級  全新防水透氣透濕技術|

 

 

 

AirySektor微多孔薄膜技術所製成織物產品,具有持久性防水、高透氣與高透濕功能。同時完全阻擋細菌、蟎蟲穿透,提供使用者最強保護與絕佳舒適感受;環保無毒材質,使用更安心。

 

|透氣X透濕  防蟎X阻菌|

 

每坪方寸有100億個奈米小孔,孔徑小於水滴,但大於蒸氣。可以完全阻擋水滴穿透,亦可輕易阻擋細菌、蟎蟲穿透。奈米級孔洞—直通率高;奈米級孔洞—分布率高

 

|環保無毒—環保地球,使用安心|

 

 

 

|AirySektor與其他防水膜技術有何不同?|

現今防水膜技術可分為「有孔膜」與「無孔膜」兩大類

 

第一類

PTFE微多孔輪水型薄膜

|透氣但不環保|

 

微多孔特性,兼具防水與良好透濕效果。但為全氟化合物(PFCs),可能污然環境與有害人體(生殖系統、刺激腫瘤生長、干擾內分泌)。雖然透濕透氣表現良好,但為環保組織詬病。

 

 

第二類

PU/TPU/TPEE無孔親水型薄膜

|環保但不透氣|

 

薄膜無孔,為間接透濕效果:薄膜將汗水吸收後,再藉由擴散方式將汗水排除。相較於PTFE(PECs)問題,是環保無毒膜。但因其無孔隙,所以完全沒有透氣效果。

 

 

全新技術

AirySektor微多孔薄膜

|透氣且環保|

 

全環保微多孔結構,無全氟化合物(PFCs),即達到防水與直接透濕最佳效果;無重金屬、通過SGS檢測。同時兼具環保無毒、優異防水透氣透濕效果。

 

 

 

 

|AirySektor 評測表現|

評測顯示:AirySektor的防水透氣透濕表現,不僅優異,更勝於其他防水膜技術!

 

 

|多項檢測證明|

給您最安心的把關

 

|推薦商品|